Open Access publishing for the scientific community

Maximizing the impact of research through openness. Because science works best when research is open. gmail login

Welcome to ECronicon

ECronicon aspires to strengthen the researchers by providing a platform with a prime focus towardsfacebook login promoting the usage of e-information that is purposeful for the research world. We provide immense quality literature in print and online. ECronicon publishes 40 journals across the disciplines of life sciences, engineering, technology, pharmacy and medication.

Ecronicon_PubMed
Ecronicon_icmje
Ecronicon_googlescholar
ECronicon Open Access

Open Access

Actively encourages open access submissions, allowing for more meaningful usage of research data in future innovative research.

ECronicon Double Blind Peer Review

Double Blind Peer Review

We are an international double blinded peer-reviewed publisher showcasing research in all areas of scientific technology and developments.hotmail

ECronicon Eminent Editorial Board

Eminent Editorial Board

Our Editors are an expertise in the concerned fields of research, vital in the publication process.

ECronicon High Impact Journals

High Impact Journals

Our primary goal is to accept papers that are unique, new, relevant, and of high quality.

ECronicon Quality Publication

Quality Publication

We aspire to publish high-quality information that meets the requirements of the journal.

ECronicon Anti Plagiarism

Anti Plagiarism

We examine the received articles versus formerly published studies on the world wide web, which aids in determining their uniqueness.

Latest Articles

EC NEUROLOGY | Research Article

ECNE

Ultrasonographic Evaluation of Lumbar Intervertebral Discs Hernia Detected by MRI in High School Aged Children

Rizvan Yagubovich Abdullaiev, Igor A Voronzhev, Roman R Abdullaiev and Nataly S Lisenko

Published on: January 13, 2026

EC PAEDIATRICS | Case Report

ECDE

Kempe Syndrome: Case Report

Ericka Sosa Martínez, Rocio Lizzette Espinosa Almazo, Susan Jiménez Molina, Natalia Fátima Moron Frausto, Patricia Luna Madrid, Isis Amparo Cavero Carranza, Maria de los Dolores Molina Ramirez, María de Lourdes Hurtado Hernández, Lourdes Paola García Hurtado and Yaneth Martínez Tovilla

Published on: January 05, 2026

EC MICROBIOLOGY | Case Report

ECMI

Panophthalmitis Caused by Streptococcus pneumoniae Complicated by Preseptal Cellulitis: A Case Report

Asmaa Ouahid, Elmostafa Benaissa, Fatima Ziad, Oumaima Skalante, Abderrazak Saddari, Yassine Benlahlou, Adil Maleb, Mariama Chadli and Mostafa Elouennass

Published on: December 31, 2025

EC PHARMACOLOGY AND TOXICOLOGY | Research Article

ECPT

Modulation of Mitochondrial Stress by Nano-Curcumin in the Liver of Arsenic Treated Rats

Lalit Mohan Vashistha, Yeshvandra Verma and Suresh Vir Singh Rana

Published on: December 31, 2025

EC ORTHOPAEDICS | Case Report

ECOR

Ouijdane Zamani, Bassel Saber, Rachida Saouab, Jamal El Fenni, Meryem Boui and Meryem Edderai

Rosini Sergio, Saviola Giannantonio, Stefano Rosini, Molfetta Francesco and Molfetta Luigi

Published on: December 30, 2025

EC OPHTHALMOLOGY | Case Report

ECOP

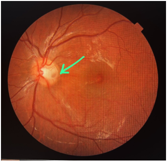
Association of Optic Disc Drusen and Acute Anterior Ischemic Optic Neuropathy: A Case Report

A Fiqhi, Y Achegri, A Bouimtarhan, S Azib, M Boukssim, A El Khoyaali and Y Mouzari

Published on: December 30, 2025

Eminent Editors

+

Publications

%

Acceptance Rate

+

Article Downloads